
Naučnici mogu da kažu koliko brzo starite na osnovu samo jednog snimka mozga
Novi „sat starenja“ može da predvidi rizik od demencije, drugih bolesti povezanih sa starenjem, godinama pre pojave simptoma.
Ponovno okupljanje društva iz srednje škole predstavlja odličan podsetnik da neki ljudi stare na lepši način nego drugi. Neki ulaze u starije godine fizički snažni i mentalno bistri. Drugi počnu da se osećaju slabo ili zaboravno mnogo ranije u životu nego što je očekivano.
„Način na koji starimo s godinama je prilično drugačiji od toga koliko puta smo obišli Sunce“, kaže Ahmad Hariri, profesor psihologije i neuronauke na Univerzitetu Djuk.
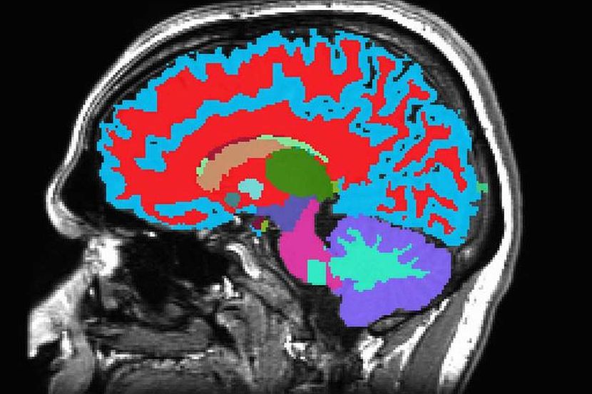
Naučnici sa Univerziteta Djuk, Harvard i Otago na Novom Zelandu razvili su instrument koji može reći koliko brzo neko stari i dok su još dovoljno zdravi – posmatrajući snimak mozga.
Na osnovu jednog jedinog snimka mozga magnetnom rezonancom, instrument može da proceni rizik u srednjem životnom dobu od hroničnih bolesti koje obično nastupaju decenijama kasnije. Te informacije bi mogle pomoći u podsticanju životnog stila i promena u ishrani radi poboljšanja zdravlja.
Kod starijih ljudi, instrument može da predvidi da li će neko razviti demenciju ili druge bolesti povezane sa starošću godinama pre pojave simptoma, kad bi mogla postojati bolja šansa za usporavanje toka bolesti.
„Otkrili smo koliko brzo ljudi stare koristeći podatke sakupljene u srednjem životnom dobu. To nam pomaže da predvidimo dijagnozu demencije među ljudima koji su mnogo stariji“, kaže Hariri.
Pronalaženje načina da se uspori propadanje povezano sa starošću je ključ za pomoć ljudima da žive zdravije i duže. Međutim, prvo treba otkriti kako se starenje može nadgledati na precizan način.
Nekoliko algoritama je razvijeno za merenje koliko dobro neka osoba stari. Međutim, većina ovih „satova starenja“ oslanja se na podatke o ljudima različitih starosti u jednom trenutku vremena, umesto praćenja istih individua dok postaju starije.
„Ono što izgleda kao brže starenje može prosto biti usled razlika u izloženosti stvarima kao što su olovni benzin ili dim cigareta, specifičnim za njihovu generaciju“, kaže Hariri.
Izazov je da se dođe do merenja koliko brzo se proces odvija bez uticaja sredinskih ili istorijskih faktora nevezanih za starenje.
Istraživači su se radi toga oslonili da podatke o 1.037 ljudi koji su proučavani od rođenja 1972-1973. u okviru novozelanske Danidinske studije, nazvane po gradu u kom su rođeni.
Svakih nekoliko godina, istraživači su posmatrali promene u krvnom pritisku, indeksu telesne mase, nivoima glukoze i holesterola, funkciji pluća i bubrega, kao i drugim merenjima, čak povlačenju desni i karijesu.
Koristili su ukupni obrazac promene ovih zdravstvenih pokazatelja tokom skoro 20 godina radi generisanja nivoa koliko brzo svaka osoba stari.
Novi instrument je treniran da proceni ovu stopu nivoa starenja koristeći samo informacije dobijene jednim jedinim snimkom mozga magnetnom rezonancom od 860 učesnika Danidinske studije kad su bili 45 godina stari.
Zatim je to upotrebljeno za analizu snimaka mozga u drugim bazama podataka od ljudi u Ujedinjenom Kraljevstvu, Sjedinjenim Državama, Kanadi i Latinskoj Americi.
Brže starenje i veći rizik od demencije
Širom skupova podataka, otkriveno je da ljudi koji stare brže prema ovom merilu imaju lošiji učinak u kognitivnim testovima i brže smanjivanje u hipokampusu, oblasti mozga bitnoj za pamćenje.
Još važnije, bilo je verovatnije da će doživeti kognitivno propadanje u kasnijim godinama.
U jednoj analizi, istraživači su ispitali snimke mozga 624 osobe starosti od 52 do 89 godina iz severnoameričke studije o riziku od Alchajmerove bolesti.
Ljudi za koje je instrument smatrao da stare najbrže kad su se uključili u studiju imali su 60% veću verovatnoću da razviju demenciju u narednim godinama. Takođe su počeli da imaju probleme sa pamćenjem i mišljenjem ranije nego oni koji su starili sporije.
Veze između tela i mozga
Takođe je otkriveno da ljudi čiji rezultati pokazuju da stare brže imaju veću verovatnoću za pogoršanje zdravlja ukupno, ne samo u pogledu moždane funkcije. Ljudi sa bržim starenjem bili su slabiji i imali veću verovatnoću zdravstvenih problema povezanih sa starošću kao što su srčani udari, oboljenje pluća ili moždani udari.
Oni koji najbrže stare imali su 18% veću verovatnoću da dobiju dijagnozu neke hronične bolesti u roku od nekoliko narednih godina, u poređenju sa ljudima koji stare prosečnom brzinom.
Još više zabrinjava to što su takođe imali 40% veću verovatnoću da umru u datom roku nego oni koji su starili sporije.
„Veza između starenja mozga i tela je prilično jaka“, kaže Hariri.
Korelacija između brzine starenja i demencije bila je jednako jaka u drugim demografskim i socioekonomskim grupama kao u onima na kojima je model treniran, uključujući uzorak ljudi iz Latinske Amerike i učesnike iz Ujedinjenog Kraljevstva koji imaju niske prihode i nisu belci.
„Izgleda da je registrovano nešto što se reflektuje u svim mozgovima“, kaže Hariri.
Ovaj rad je značajan zato što ljudi širom sveta žive duže. U predstojećim decenijama, broj ljudi iznad 65 godina starosti će se, prema očekivanjima, udvosručiti, dostižući skoro četvrtinu svetske populacije do 2050.
Međutim, zato što živimo duže, više ljudi će nažalost doživeti hronične bolesti povezane sa starenjem, uključujući demenciju, kaže Hariri.
Ekonomski teret demencije već je ogroman. Istraživanje sugeriše da će globalna cena tretiranja Alchajmerove bolesti, na primer, porasti sa 1,33 biliona dolara u 2020. do 9,12 biliona dolara u 2050. To je slično ili veće od troškova za bolesti kao što su oboljenje pluća ili dijabetes koje pogađaju više ljudi.
Delotvorni tretmani za Alchajmerovu bolest ostaju nedokučivi. Većina odobrenih lekova može da pomogne u kontrolisanju simptoma, ali ne zaustavljaju ili preokreću bolest.
Jedno moguće objašnjenje zašto lekovi zasad nisu efikasni jeste da je njihova primena počela prekasno, kad su proteini koji se u Alchajmerovoj bolesti gomilaju u i oko nervnih ćelija već napravili previše štete.
„Lekovi ne mogu da vrate u život umirući mozak“, kaže Hariri.
Međutim, u budućnosti bi novi instrument mogao omogućiti da se identifikuju ljudi koji su možda na putu ka Alchajmerovoj bolesti ranije i procene intervencije u cilju njenog zaustavljanja – pre nego što oštećenje mozga postane obimno i bez višedecenijskog čekanja na ocenu.
Osim predviđanja rizika od demencije tokom vremena, novi sat će takođe pomoći naučnicima da bolje razumeju zašto ljudi sa izvesnim faktorima rizika, kao što su loš san ili poremećaji mentalnog zdravlja, stare različito.
Više istraživanja je potrebno za napredak od istraživačkog instrumenta, nazvanog DunedinPACNI, do nečega sa praktičnim primenama u sistemu zdravstvene zaštite. U međuvremenu, pak, instrument bi mogao pomoći istraživačima sa pristupom snimcima mozga magnetnom rezonancom da izmere stope starenja na načine koji su nemogući za satove starenja bazirane na drugim biomarkerima, poput testova krvi.
„Nadamo se da je to bitan novi instrument za predviđanje rizika od bolesti, naročito Alchajmerove i povezanih demencija, i takođe možda pronalaženje boljeg uporišta u pogledu napredovanja bolesti“, kaže Hariri.
(Telegraf Nauka/EurekAlert)
Video: Projekat o osnaživanju Romkinja iz Srbije uzor evropske naučne zajednice, osvojio Grand Prize
Nauka Telegraf zadržava sva prava nad sadržajem. Za preuzimanje sadržaja pogledajte uputstva na stranici Uslovi korišćenja.