
Ćelije „povraćaju“ otpad da bi unapredile oporavak, pokazuje studija na miševima
Novootkriveni proces čišćenja gastričnih ćelija pokazuje kako oporavak od povrede može da krene pogrešnim putem.
Kad dođe do povrede, ćelije imaju dobro regulisane reakcije u cilju boljeg oporavka. Među njima je dugo izučavan proces samouništenja koji uklanja mrtve i oštećene ćelije, kao i fenomen koji je identifikovan u novije vreme i koji pomaže starijim ćelijama da se vrate u takoreći mlađe stanje radi obnove zdravog tkiva.
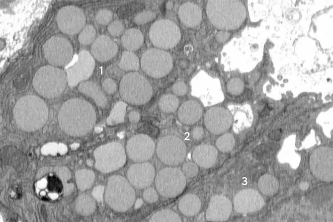
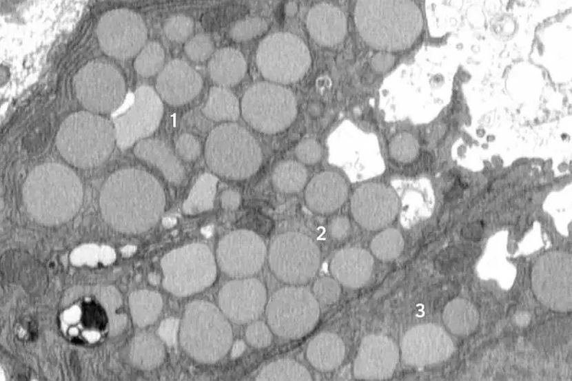
Nova studija na miševima, predvođena istraživačima iz Medicinske škole Univerziteta Vašington u Sent Luisu i Medicinskog koledža Bejlor u Hjustonu, sad otkriva ranije nepoznat proces ćelijskog čišćenja koji može pomoći povređenim ćelijama da se brže vrate u stanje nalik matičnim ćelijama. Novootkrivena reakcija je nazvana katartocitoza, što bi na grčkom značilo „ćelijsko čišćenje“.
Studija je koristila mišji model povrede želuca radi uvida u način ozdravljenja ćelija, ili odsustva ozdravljenja, reagujući na oštećenje, kao u slučaju infekcije ili zapaljenjske bolesti.
„Nakon povrede, zadatak je ćelije da popravi tu povredu. Međutim, već razvijena ćelijska mašinerija za obavljanje redovnog posla predstavlja prepreku“, kažu naučnici. „Stoga je ovo ćelijsko čišćenje brz način da se ukolni ta mašinerija, kako bi mogla brzo postati mala, izvorna ćelija sposobna za proliferaciju i opravku povrede. Identifikovali smo ovaj proces u gastrointestinalnom traktu, ali mislimo da je značajan i u drugim tkivima“.
Proces je upoređen sa „povraćanjem“ ili izbacivanjem otpada, što pomaže da se ćelija oslobodi zbrke i fokusira na ponovni rast zdravog tkiva brže nego ako bi samo postepeno, kontrolisano razgrađivala otpad.
Kao mnoge prečice, i ova ima moguće loše strane. Katartocitoza je brza, ali neuredna, što može objasniti kako reakcije na povredu mogu krenuti pogrešnim putem, naročito u slučaju hronične povrede.
Na primer, postojana katartocitoza kao reakcija na infekciju predstavlja znak hroničnog zapaljenja i ponovljenog oštećenja ćelije, što je plodno tlo za kancer. U stvari, otpad koji ćelija izbacuje može takođe služiti kao način da se identifikuje ili prati kancer, kažu istraživači.
Katartocitoza je identifikovana u okviru značajnog regenerativnog odgovora na povredu zvanog paligenoza, kad povređene ćelije napuštaju svoje normalne uloge i prolaze kroz proces reprogramiranja do nezrelog stanja, ponašajući se kao brzo deleće matične ćelije, što se dešava tokom razvoja.
Prvobitno su istraživači pretpostavljali da se uklanjanje ćelijske mašinerije u cilju pripreme za reprogramiranje dešava potpuno unutar ćelijskih odeljaka zvanih lizozomi, gde se otpad razgrađuje u sporom i izdvojenom procesu.
Međutim, od početka su primetili otpatke izvan ćelija. Inicijalno su to zanemarili kao nevažno, ali su videli sve više eksternog otpada. Model želudačne povrede kod miševa koja je izazvala reprogramiranje zrelih ćelija u stanje matičnih ćelija, svih odjednom, pokazao je da je reakcija „povraćanja“ odlika paligenoze. Drugačije rečeno, proces povraćanja nije sporadičan, već novoidentifikovan, standardan način reagovanja ćelija na povredu.
Iako su otkrili katartocitozu tokom paligenoze, istraživači kažu da ćelije mogu koristiti katartocitozu radi izbacivanja otpada u drugim, strašnijim situacijama – zrele ćelije s tom sposobnošću mogu da počnu da se ponašaju kao ćelije raka.
Dok novootkriveni proces katartocitoze može pomoći povređenim ćelijama da brže prođu kroz paligenozu i regenerišu zdravo tkivo, ustupak stiže u obliku dodatnih otpadnih proizvoda koji mogu podstaći zapaljenjska stanja, čineći hronične povrede težim za tretiranje i korelirajući sa povećanim rizikom od razvoja raka.
„U ovim gastričnim ćelijama, paligenoza – vraćanje u stanje matičnih ćelija radi ozdravljenja – rizičan je proces, naročito sad pošto smo identifikovali potencijalno zapaljenjsko umanjivanje dejstva katartocitoze“, kažu naučnici. „Ove ćelije u želucu žive dugo, a ćelije koje postaju starije doživljavaju mutacije. Ako se mnogo starijih mutiranih ćelija vrati u stanje matičnih ćelija u cilju izlečenja povrede – a povrede takođe često podstiču zapaljenje, kao tokom infekcije – povećan je rizik od širenja štetnih mutacija koje vode do kancera dok se te matične ćelije multiplikuju“.
Potrebno je još istraživanja, ali autori studije smatraju da bi katartocitoza mogla imati ulogu u održavanju povrede i zapaljenja u infekcijama bakerijom Helicobacter pylori, koja inficira i oštećuje želudac, izazivajući čireve i povećavajući rizik od raka želuca.
Nalazi bi takođe mogli ukazati na nove strategije u tretmanu raka želuca i možda drugih kancera gastrointestinalnog trakta. Istraživači su razvili antitelo koje se veže za delove ćelijskog otpada izbačenog tokom katartocitoze, obezbeđujući način detekcije kad bi se ovaj proces mogao dešavati, naročito u velikim količinama. Tako bi se katartocitoza mogla koristiti kao marker pretkanceroznih stanja koji bi omogućio ranu detekciju i tretman.
Ako bolje razumemo ovaj proces, mogli bismo razviti načine za podsticanje reakcije izlečenja i možda, u kontekstu hronične povrede, sprečavanje oštećenih ćelija koje prolaze kroz hroničnu katartocitozu da doprinesu formiranju kancera, kažu istraživači.
(Telegraf Nauka/EurekAlert)
Video: Projekat o osnaživanju Romkinja iz Srbije uzor evropske naučne zajednice, osvojio Grand Prize
Nauka Telegraf zadržava sva prava nad sadržajem. Za preuzimanje sadržaja pogledajte uputstva na stranici Uslovi korišćenja.