Studija pomoću magnetne rezonance ispituje preklapanje dva uobičajena neonatalna oštećenja mozga

D. M.
D. M.    
Čitanje: oko 2 min.
  • 0

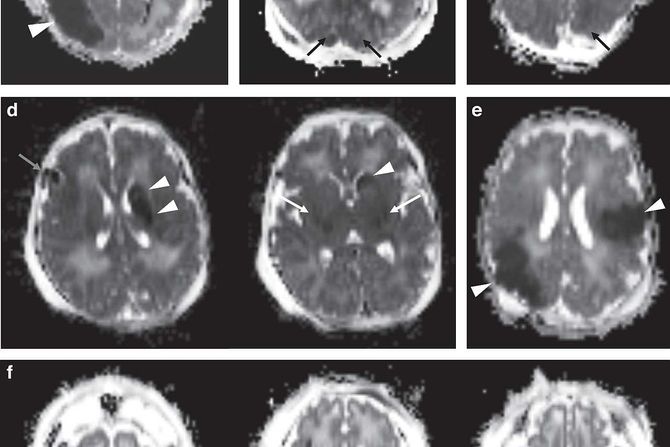
Oštećenja mozga su vodeći razlog smrti i dugoročnog invaliditeta novorođenčadi. Među najuobičajenijima je neonatalna hipoksično-ishemijska encefalopatija (HIE), koja pogađa jedno do tri u 1.000 rođenja godišnje i odgovorna je za 22% smrti novorođenčadi širom sveta. Samo malo manje uobičajen je perinatalni arterijski ishemijski moždani udar (PAIS).

Oba stanja mogu da utiču na centralni nervni sistem, dovodeći do oštećenja mozga i konvulzija nakon rođenja i izazivajući neurološke i razvojne probleme.

Iako HIE i PAIS mogu da izgledaju slično na papiru, istraživači ističu da su mehanizmi u njihovoj osnovi prilično različiti. HIE je posledica globalnog smanjenja dotoka krvi i kiseonika u mozgu, dok je PAIS uzrokovan ugruškom u nekoj velikoj arteriji mozga.

Sadašnji standardni tretman za HIE je proces hlađenja mozga u cilju usporavanja ćelijskog i molekularnog oštećenja i zapaljenja usled nedostatka kiseonika.

Istraživači iz nekoliko dečjih bolnica u Sjedinjenim Državama ispitivali su koliko često se PAIS dešava kod beba sa dijagnozom HIE. Takođe su pokušali da koreliraju prisustvo PAIS sa kliničkim karakteristikama poput rizika od konvulzija, stope encefalopatije nakon ponovnog zagrevanja mozga i neurorazvojnim ishodima kod dvogodišnje dece.

Studija je uključivala 473 bebe sa dijagnozom umerenog ili teškog HIE u roku od šest sati od rođenja.

Otkriveno je da kod 4% novorođenčadi sa umerenim do teškim HIE snimanje magnetnom rezonancom ukazuje na PAIS.

Tri od četiri bebe koje su imale PAIS takođe su imale obrazac HIE oštećenja mozga i doživljavale teže komplikacije nego one bez PAIS.

Konvulzije su bile uobičajenije kod beba koje su imale PAIS.

Bilo je verovatnije da će bebe koje imaju PAIS imati postojanu umerenu ili tešku encefalopatiju nakon pet dana tretmana nego bebe koje nemaju PAIS.

Uprkos velikom broju beba sa HIE, samo 21 je imala PAIS, što je ograničilo istraživače u detekciji statistički značajnih razlika u dvogodišnjim ishodima.

Iako je ostvaren napredak u razumevanju stope kojom se PAIS i HIE dešavaju zajedno, potrebno je još izučavanja da bi se razumeli tačan tajming i patogeneza koji dovode do ova dva različita neonatalna oštećenja mozga.

Moguće objašnjenje je da HIE i PAIS dele slične faktore rizika kao što su korioamnionitis i oboljenje placente.

HIE može zahtevati tretman ECMO (ekstrakorporalna membranska oksigenacija), koji je po sebi faktor rizika za moždani udar, koji je uobičajeniji kod novorođenčadi koja imaju PAIS.

Ako se PAIS desi tokom porođaja, može dovesti do težeg i produženog porođaja, što može povećati rizik od HIE.

Rezultati pokazuju vrednost studija velikog obima radi poboljšanja intervencija za neonatalnu povredu mozga. Studija naglašava značaj snimanja mozga magnetnom rezonancom u identifikaciji svih uzroka oštećenja mozga novorođenčadi podvrgnutoj terapeutskoj hipotermiji zbog HIE.

(Telegraf Nauka/MedicalXpress)

Video: Projekat o osnaživanju Romkinja iz Srbije uzor evropske naučne zajednice, osvojio Grand Prize

Podelite vest:

Pošaljite nam Vaše snimke, fotografije i priče na broj telefona +381 64 8939257 (WhatsApp / Viber / Telegram).

Nauka Telegraf zadržava sva prava nad sadržajem. Za preuzimanje sadržaja pogledajte uputstva na stranici Uslovi korišćenja.

Komentari

  • Eur: <% exchange.eur %>
  • Usd: <% exchange.usd %>